Frisardi
Masticationpedia Network

(Nettuno)

Gianni Frisardi

Diplômé en Médecine et Chirurgie en 1983 et spécialiste en Odontostomatologie en 1987 à l’Université « La Sapienza ».

Flavio Frisardi

Diplômé en Odontologie en 2002 à l’Université d’Ancône.

Le bénéfice social direct du Masticationpedia Network

En vertu de la vocation sociale intrinsèque du projet Masticationpedia, le Centre Odontologique Frisardi, en cohérence avec les finalités des Charities anglo-saxonnes, se met à la disposition des citoyens à travers un premier projet social : le diagnostic dans le domaine des « douleurs orofaciales ».

Il est important de préciser dès le départ que cette initiative, afin de garantir la transparence des intentions, est étroitement liée à la rigueur des lois anglo-saxonnes qui régissent le fonctionnement des Charities.

Par la loi, les Charities ne peuvent ni redistribuer des bénéfices ni rémunérer les trustees, qui sont de fait les membres fondateurs. Cette initiative constitue donc un bénéfice social direct, et la contribution des professionnels qui y adhèrent relève essentiellement d’un choix éthique et personnel. Naturellement, l’ensemble des activités sera proportionné au nombre de patients sollicitant le service et aux ressources économiques disponibles pour la Charity.

🇫🇷 La procédure de don est gérée via Stripe (interface en anglais).


Espace patients
Scénarios diagnostiques récurrents observés au sein du Masticationpedia Network (et non des rapports de cas isolés). Tous les centres du Network habilités utilisent des technologies et des méthodologies neurophysiologiques permettant des diagnostics précoces et précis de pathologies imitant des symptomatologies odontologiques, telles que les Troubles Temporo-Mandibulaires et les Douleurs Orofaciales, qui peuvent parfois masquer des atteintes organiques neurologiques et systémiques. En outre, le savoir-faire acquis permet un contrôle et une finalisation des traitements orthodontiques, prothétiques et implantoprothétiques optimisés selon les réponses neurophysiologiques trigéminales, et non uniquement sur des paramètres de forme et d’esthétique.

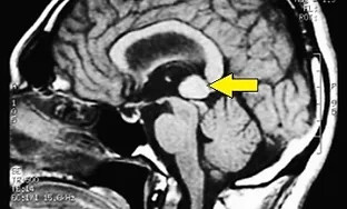
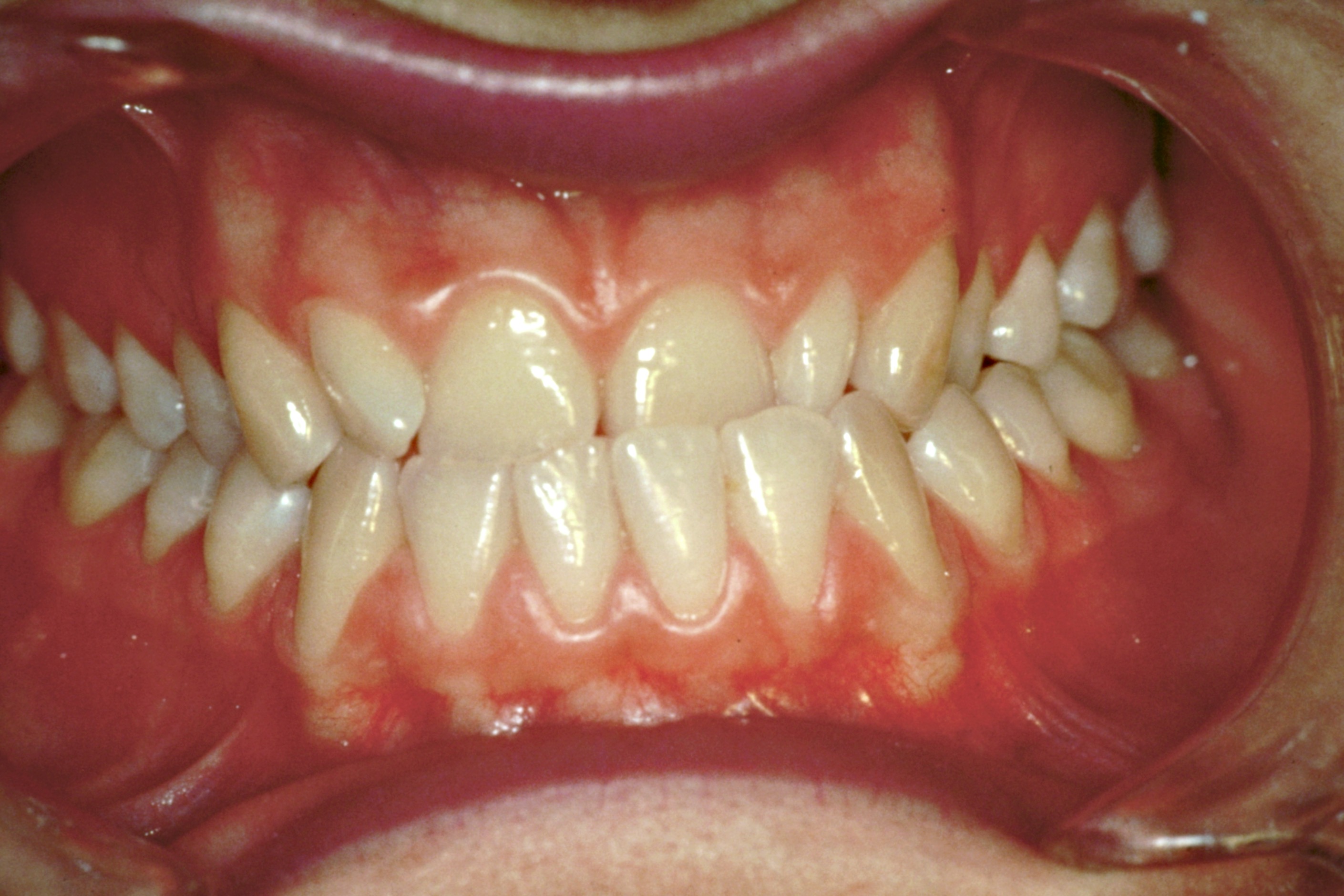
Troubles temporo-mandibulaires
Bruxisme et toxine botulique
Électrophysiologie trigéminale
Troubles temporo-mandibulaires
Occlusion et posture
Neurophysiologie
Troubles temporo-mandibulaires
Troubles temporo-mandibulaires
Centrique neuro-évquée
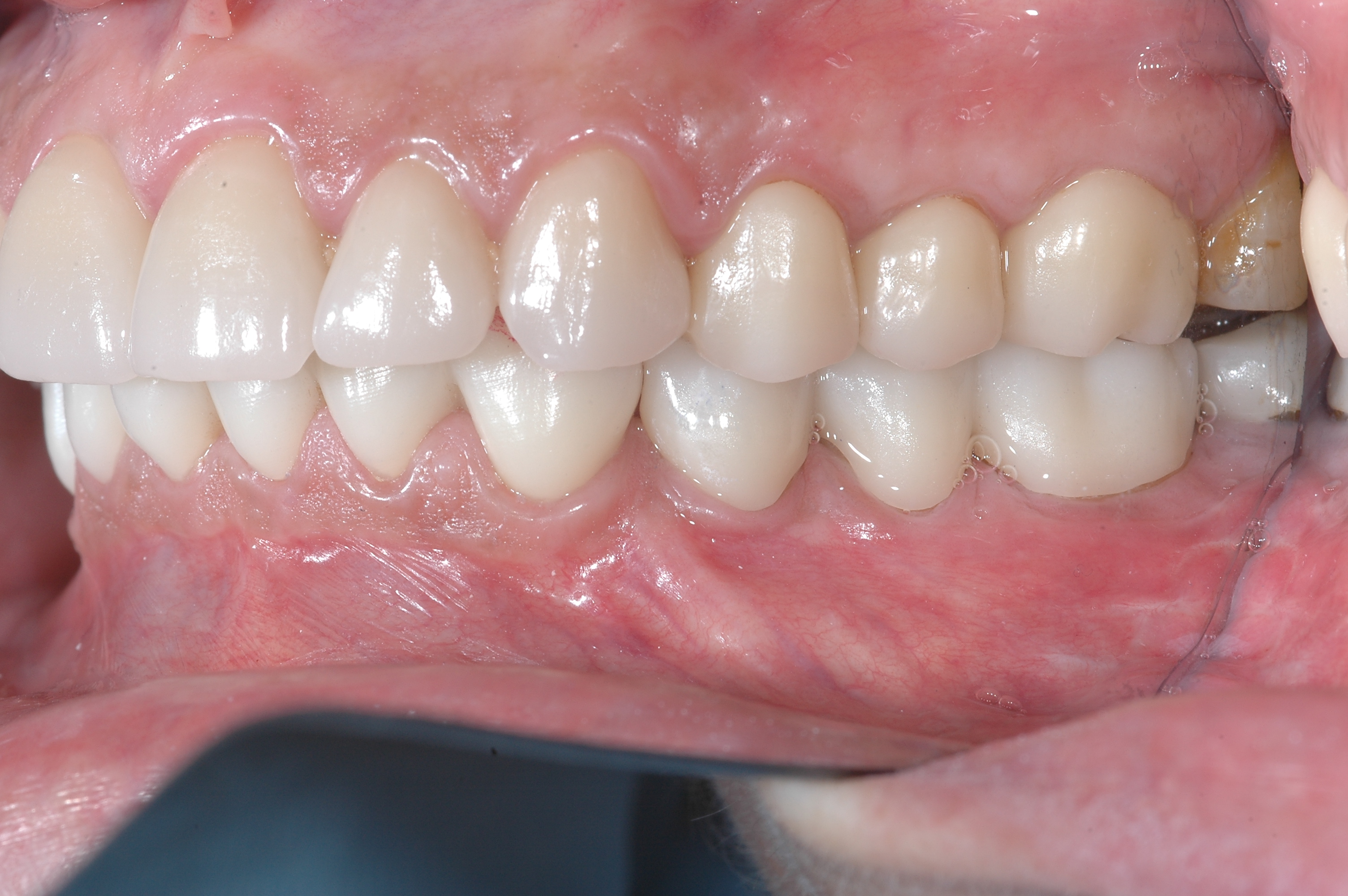
Réhabilitations implantoprothétiques
Réhabilitations implantoprothétiques
Neuro-gnathologie fonctionnelle
Dimension verticale
Dimension verticale occlusale
Neuro-gnathologie fonctionnelle
Traitements orthodontiques fixes
Orthodontie fixe
Neuro-ortho-gnathodontie
Orthodontie interceptive
Orthodontie interceptive
Neuro-orthodontie interceptive


Faites défiler horizontalement pour voir tous les patterns.


🎓 Academy (Formation & échange méthodologique)
Les activités de formation (rencontres, parcours, modules) sont publiées sur la page dédiée Masticationpedia Academy.
La formation constitue un soutien culturel et méthodologique : elle ne détermine pas l’affiliation et n’accorde pas de visibilité au sein du Network.

Accéder à la Masticationpedia Academy →

----